Jaké jsou možné komplikace mezizubního kazu a co se stane, když ho necháte beze zpracování?

Kontrola příznaků mezizubního kazu

Kontrolujte své příznaky

Vyhledejte příznaky mezizubního kazu, které můžete zažívat. Čím více příznaků uvedete, tím větší je riziko nezpracovaného kazu.

Mezizubní kaz se neobjeví náhodou. Nejde o náhodnou skvrnu na zubu - je to postupné ničení skrze mikroby, které se usadí v těsném prostoru mezi zuby, kde četká zubní kartáček nedosáhne. Mnoho lidí si myslí, že pokud nebolí, není problém. To je největší omyl. Mezizubní kaz se rozvíjí tichým, ale neúprosným způsobem - až do chvíle, kdy se objeví bolest, už je pozdě.

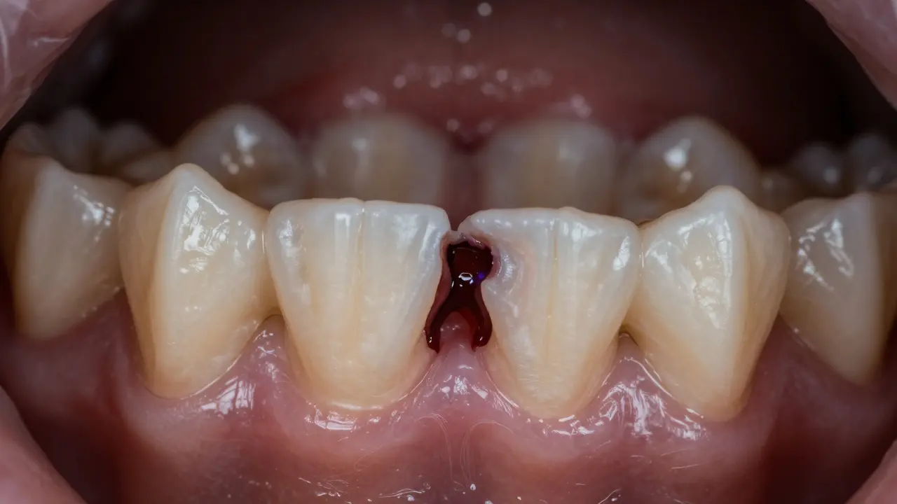
Co se děje v mezizubním prostoru?

Mezizubní prostor je ideální místo pro bakterie. Zde se hromadí zbytky jídla, zejména cukrů a škrobu, které se proměňují v kyselinu. Ta pomalu rozpouští sklovinku zubu - nejdříve zvenčí, pak se posouvá dovnitř. V tomto prostoru není žádná přirozená čistota. Zubní nitě nebo mezizubní kartáčky jsou jediné, co mohou tyto bakterie odstranit. Pokud je nebudete používat, kaz se rozšíří rychleji než na ploché ploše zubu.

Když se kaz dostane hlouběji, začne poškozovat dentin - vrstvu pod sklovinkou. Dentin je měkčí a citlivější. Tam už se kaz šíří třikrát rychleji. A protože mezizubní kaz je skrytý, nevidíte ho. Nevidíte ho ani na zubním rentgenu, pokud není dostatečně pokročilý. To znamená, že může být na zubu rok nebo dva, než ho někdo objeví.

První příznaky, které ignorujete

Někteří lidé cítí jen lehkou citlivost na studené nebo teplé jídlo. Považují to za „normální“. Ale to je první varovný signál. Jiní cítí při čištění zubů mírné krvácení. Považují to za „zápal dásní“. Nejsou si vědomi, že krvácení může být důsledkem kazu, který už dosáhl až k dásni. Když se kaz blíží k dásni, může způsobit zánět, který se projevuje otokem, bolestí při kousnutí a nepříjemnou chutí v ústech.

Někdy se objeví malý černý bod mezi zuby - ale jen při důkladném zkoumání. Většina lidí ho nevidí, protože je skrytý. A když ho konečně uvidí, už je to pozdě. Nejčastější chyba je čekání na bolest. Ale mezizubní kaz bolestí často nevyvolá, dokud nezasáhne nerv - a to je už konečná fáze.

Co se stane, když kaz necháte běžet?

Když se mezizubní kaz nezachytí včas, začne se šířit dovnitř zubu. Nejprve poškodí dentin, pak dosáhne pulpy - to je živá tkáň uvnitř zubu, kde jsou nervy a cévy. Když se infekce dostane do pulpy, vzniká zubní absces. To je hnisavá infekce, která se může rozšířit do čelisti, obličeje, dokonce i do krku.

Infekce v čelisti se nemusí projevit okamžitě. Může se „schovat“ a náhle se objevit s vysokou teplotou, otokem tváře nebo obtížemi s polykáním. V extrémních případech může infekce putovat do krve - a to může vést k sepsis, což je životně ohrožující stav. I když se to zdá jako extrém, v České republice se každý rok objeví desítky případů, kdy lidé museli být hospitalizováni kvůli zanedbanému zubnímu kazu.

Nejčastější důsledek mezizubního kazu je ztráta zubu. Když se kaz rozšíří na oba sousední zuby, může zničit jak jeden, tak druhý. Zuby se pak neudrží v čelisti. Nejenže ztratíte zub - ale také může dojít k posunutí ostatních zubů, což způsobí problémy s kousáním, řečí a dokonce i s tvarem obličeje.

Bakterie ničící zubní sklovinku a dentin v mezizubním prostoru

Co se stane s dásněmi?

Mezizubní kaz nejen poškozuje zub - ničí i dásně. Bakterie z kazu vytvářejí zánět, který se projevuje jako paradontitida. To je zánět tkání, které drží zub v čelisti. Když se dásně zanětí, začnou ustupovat. Zuby se „zkracují“, vznikají mezery, kde se hromadí ještě více bakterií. Výsledkem je ztráta kosti kolem zubu - a ta se už nevrátí.

Paradontitida je jednou z hlavních příčin ztráty zubů u dospělých. A není to jen otázka zubů. Výzkumy ukazují, že lidé s chronickým zánětem dásní mají vyšší riziko srdečních onemocnění, cukrovky a dokonce i mozkové mrtvice. Zánět v ústech se šíří do krve - a ovlivňuje celé tělo.

Je možné to vyléčit, když už je pozdě?

Ano, ale cena je vyšší. Pokud se kaz dostal do pulpy, budete potřebovat kořenové ošetření. To je dlouhý proces, který trvá několik návštěv. Zub se otevře, infekce se odstraní, a pak se zub naplní a uzavře. Ale i poté je zub slabší - a může se po několika letech rozbít.

Když je zub už příliš poškozený, musí se vytrhnout. A pak přichází otázka: co s tím prázdným místem? Pokud jej nezaměníte, zuby vedle se začnou přesouvat, a zub naproti se vysouvá. To způsobuje problémy s kousáním, bolesti čelisti a dokonce i problémy s klouby.

Chcete-li zub nahradit, máte možnosti: most, náhradní zub nebo implantát. Každá z nich je drahá - a všechny vyžadují čas, bolest a další léčbu. Zatímco včasná plomba za 1500 Kč vyřeší problém za jednu návštěvu.

Srovnání skrytého zubního kazu a jeho důsledků v ústech

Co můžete dělat, abyste tomu předešli?

Nejlepší lék je prevence. A to nejen čištění zubů. Musíte používat mezizubní kartáček nebo zubní nitě každý den - alespoň jednou, ideálně večer. Zubní kartáček čistí pouze plochy - mezizubní prostor je jeho „černá díra“.

Navíc je důležité, abyste navštívili zubního lékaře každých 6 měsíců. Na rentgenu může lékař vidět kaz, který ještě není vidět na zubu. V 80 % případů se mezizubní kaz objeví až na rentgenu - ne na zubu.

Nezapomeňte na potravu. Časté jídlo s cukrem - i když je to „zdravé“ ovoce nebo sladké nápoje - zvyšuje riziko. Bakterie se živí cukrem, a když ho dostávají každých 2 hodiny, nemají čas se „vyspat“.

Co dělat, když už cítíte něco špatného?

Nečekejte. Pokud cítíte:

  • citlivost na teplé nebo studené jídlo
  • krvácení při čištění mezi zuby
  • černý bod nebo šedivý odstín mezi zuby
  • nevolnost nebo nepříjemnou chuť v ústech

- jděte k zubnímu lékaři hned. Neříkejte si „zatím to nebolí“. V tomto případě bolest není ukazatel, když je problém vážný. Je to ukazatel, když je už pozdě.

Mezizubní kaz se dá vyléčit - ale jen když ho zjistíte včas. A to znamená, že musíte být aktivní. Nečekat. Neignorovat. A neříkat si, že „to se samo vyřeší“.

Je možné mezizubní kaz vyléčit jen zubní nití?

Ne. Zubní nitě a mezizubní kartáčky jsou nástroje pro prevenci a čištění, ale ne pro léčbu. Pokud se kaz už vytvořil, je potřeba odborná péče - plomba nebo jiné ošetření. Nitě mohou zabránit jeho rozvoji, ale ne ho odstranit.

Může mezizubní kaz způsobit zápach z úst?

Ano. Když se kaz rozvíjí a bakterie začnou rozkládat tkáň, vytvářejí pachové látky, které se dostávají do ústní dutiny. To je častá příčina trvalého zápachu z úst, který nezmizí ani po čištění zubů. Pokud máte zápach a nevíte proč, dejte si udělat rentgen mezi zuby.

Je mezizubní kaz nakažlivý?

Ne, kaz sám o sobě není nakažlivý. Ale bakterie, které ho způsobují (zejména Streptococcus mutans), se mohou přenášet přes sliny - například při sdílení lžíce, sklenice nebo políbení. To je důvod, proč je důležité, aby i děti měly zdravé zuby - a aby dospělí nešířili špatné návyky.

Proč se mezizubní kaz nevidí na zubním rentgenu hned?

Začátečník mezizubní kaz je malý a jen na povrchu sklovinky. Rentgen zobrazuje jen větší změny v hustotě tkáně. Až když kaz pronikne hlouběji do dentinu, začne být vidět jako tmavší oblast. Proto je důležité mít rentgen každých 6-12 měsíců, aby se kaz zachytil včas.

Může mezizubní kaz způsobit bolest hlavy?

Ano. Pokud se infekce rozšíří do čelisti nebo kloubů, může způsobit bolesti hlavy, zvláště v oblasti čela, očí nebo uší. To se stává, když zánět ovlivňuje nervy, které se protahují do hlavy. Pokud máte časté bolesti hlavy a nevíte proč, dejte si zkontrolovat zuby - hlavně mezizubní oblasti.